Ветрянка у ребёнка — частая, но не такая уж безобидная инфекция. Её легко перепутать с простудой или аллергией, ведь первые симптомы ветрянки начинаются с жара и слабости, а характерная сыпь появляется позже. Важно вовремя распознать первые признаки ветрянки, чтобы изолировать ребёнка, облегчить зуд и не допустить осложнений. В этой статье разберём, как выглядит ветрянка у детей, когда появляются высыпания и что делать при первых проявлениях болезни.
Ветрянка у ребенка нередко воспринимается родителями как «безобидная» детская болезнь, которую надо просто пережить. Но на самом деле ветряная оспа — это серьезная вирусная инфекция, которая может привести к неприятным осложнениям и у детей, и у взрослых. Особенно опасна она для малышей до года, подростков, беременных женщин и людей с ослабленным иммунитетом. Именно поэтому так важно распознать первые симптомы ветрянки и начать правильный уход с самого начала. Раннее выявление позволит своевременно изолировать заболевшего (ветрянка очень заразна!) и облегчить его состояние, предотвратив расчесы и вторичные инфекции кожи.
А теперь давайте узнаем, какие признаки ветрянки появляются у ребенка в начале болезни, как выглядит характерная сыпь по дням, чем ветрянка отличается от аллергии или потницы, и главное — что делать при первых признаках ветрянки у малыша, опираясь на современный опыт педиатрии.
Ветряная оспа, или ветрянка, — это высококонтагиозное (чрезвычайно заразное) заболевание, вызываемое вирусом Varicella Zoster (из семейства герпесвирусов). Распространяется ветрянка преимущественно воздушно-капельным путем — вирус передается при разговоре, кашле, чихании инфицированного человека. Заразиться можно даже просто находясь в одном помещении: без иммунитета инфицируются до 90% контактировавших. Также вирус содержится в большом количестве в жидкости ветряночных пузырьков, поэтому передается и при прямом контакте с высыпаниями.
Инкубационный период (время от заражения до первых проявлений) при ветрянке у ребенка составляет примерно от 10 до 21 дней. Причем заболевший становится заразным еще за 1-2 дня до появления первых симптомов.
Максимальная заразность продолжается весь период, пока на коже есть свежие пузырьки с жидкостью. Ребенок перестает передавать вирус только когда все элементы сыпи покроются сухими корочками — обычно через 5-7 дней после появления последнего нового высыпания. Струпья (корочки) могут держаться еще 1-2 недели, но на этой стадии болезнь уже не заразна.
Таким образом, при подтвержденной ветрянке у ребенка важно организовать домашний карантин (изоляцию) до полного окончания заразного периода.
В организме переболевшего вирус не исчезает: он переходит в «спящее» состояние в нервных клетках. Впоследствии, через много лет, этот же возбудитель может активизироваться в виде опоясывающего лишая (герпеса) при ослаблении иммунитета. Но повторно ветрянкой люди болеют крайне редко — после инфекции формируется пожизненный иммунитет.
Первые пару дней симптомы ветрянки могут маскироваться под обычную вирусную инфекцию. У ребенка появляется лихорадка — температура при ветрянке обычно поднимается до 37,5-39°С. У некоторых детей сразу поднимается высокая температура (выше 38°С), у других при легкой форме жар может быть лишь субфебрильным (около 37,5-37,8°С).
Лихорадка часто сопровождается ознобом, потливостью и головной болью, повторные подъемы температуры могут совпадать с новыми волнами высыпаний.
Параллельно наблюдаются признаки общего инфекционного синдрома:
Возможны жалобы на боли в мышцах или горле, небольшая заложенность носа или кашель, однако выраженные респираторные симптомы для ветрянки не характерны (они чаще при осложненном течении).
У совсем маленьких детей родителям следует обращать внимание на необычную капризность, плохой сон и отказ от еды — эти неспецифические проявления могут предшествовать сыпи.
Через 1-2 дня к перечисленным симптомам присоединяется самый узнаваемый признак ветрянки у детей — характерная сыпь.
Нередко именно появление высыпаний позволяет родителям понять, что это не простуда и не аллергия, а ветрянка: симптомы становятся специфичными. Сыпь сначала выглядит как несколько небольших красных пятнышек или бугорков, похожих на укусы комара или элементы потнички. Первые элементы сыпи чаще всего возникают на лице, волосистой части головы (в том числе за ушами) или на груди. Буквально за несколько часов эти пятнышки превращаются в пузырьки, наполненные прозрачной жидкостью. Одновременно могут увеличиться лимфоузлы на шее и затылке — иммунная система реагирует на вирус (узелки могут быть слегка болезненны при нажатии).
В месте высыпаний ребенок чувствует сильный зуд — пожалуй, самый неприятный симптом ветрянки. Малыш может расчесывать кожу, не отдавая себе отчет, даже во сне.
Родителям важно заметить первые элементы сыпи и зуд: это явные первые признаки ветрянки, которые нельзя игнорировать. Уже на этом этапе следует изолировать ребенка и принять меры, чтобы облегчить зуд и не допустить травмирования кожи.
То есть, заподозрить ветрянку в первые дни можно по сочетанию симптомов:
Эти симптомы ветрянки у ребенка отличают болезнь от банальной простуды. Главное — вовремя заметить сыпь и зуд, чтобы начать правильный уход.

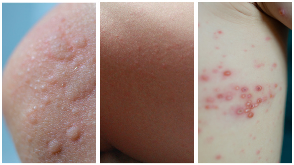
Главная визитная карточка ветрянки — это красно-пузыристая сыпь, которая появляется этапами. Многих родителей волнует, как выглядит ветрянка и как меняются элементы сыпи день за днем. Характерно, что сыпь появляется волнообразно, поэтому одновременно на коже можно увидеть пятна на разных стадиях развития.
Рассмотрим примерную динамику высыпаний по дням болезни:
Важно помнить, что у каждого ребенка количество элементов и сроки могут немного различаться. В среднем ветрянка длится около 7-10 дней с момента появления сыпи до полного подсыхания и заживления высыпаний. У совсем маленьких детей и при легкой форме процесс может завершиться быстрее (за 5-7 дней), а при тяжелом течении — затянуться на две недели и более. Но в целом через неделю после начала сыпи состояние значительно улучшается.
Иногда родители поначалу путают ветряную оспу с другими видами детских высыпаний. Действительно, как отличить ветрянку от аллергии или потницы — вопрос непростой, если вы никогда не сталкивались с ней. Рассмотрим отличительные признаки самых частых «конкурентов» ветрянки: аллергической сыпи, потнички и следов от укусов насекомых.
Аллергия часто проявляется в виде крапивницы — плоских розово-красных волдырей или пятен на коже, которые могут сливаться и мигрировать. Такая сыпь обычно не проходит через стадию пузырьков и корочек, как при ветрянке.
Важное отличие — при аллергии, даже если сыпь сильно чешется, общее состояние ребенка обычно неплохое: температуры нет либо она субфебрильная, малыш активен.
Аллергическая реакция часто связана с приемом пищи, лекарства или контактом с аллергеном, поэтому родители могут вспомнить предполагаемую причину. Антигистаминные препараты обычно быстро облегчают проявления крапивницы, в то время как на ветряную оспу они существенно не влияют.
Безобидная сыпь, возникающая у малышей при перегреве и потении.
Потничка выглядит как мелкие красные или розовые прыщики, чаще локализующиеся в складках кожи, на шее, груди, спине — там, где было жарко и влажно.
В отличие от ветрянки, потница не вызывает высокой температуры и других симптомов интоксикации. Ребенок может быть беспокойным из-за зуда, но общее самочувствие не страдает. При устранении перегрева (раздеть, искупать в теплой воде, обеспечить прохладу) такая сыпь быстро бледнеет и проходит.
Потничка не преобразуется в пузырьки с жидкостью и не покрывается корками — это ключевое отличие. Кроме того, элементы потницы чаще имеют одинаковый вид и появляются одновременно, тогда как при ветрянке сыпь «разновозрастная» (есть и свежие, и старые элементы одновременно).

Единичные или множественные красные папулы от укусов комаров, блох, клопов могут напоминать самые первые элементы ветрянки. Однако при укусах обычно можно заметить центральную точку прокола или небольшое пузырение только в месте укуса. Такие следы, как правило, не распространяются по всему телу хаотично, а локализуются на открытых участках кожи (например, только руки и лицо — там, где могли кусать комары). Температура при укусе насекомых не повышается, общее состояние ребенка хорошее.
Аллергики могут реагировать на укусы более сильным отеком и покраснением, но опять же — сыпь от укусов не превращается в типичные ветряночные пузыри и не покрывается множественными корочками по всему телу. К тому же укусы обычно прекращаются, если устранить источник (защитить от насекомых), тогда как при ветрянке новые элементы появятся независимо от внешних условий, по внутренним причинам.
При аллергии, потнице или после укусов сыпь не меняется так быстро — она не превращается в массовые пузырьки с последующим образованием корочек. Кроме того, при «неинфекционной» сыпи (аллергической или тепловой) нет такой выраженной интоксикации: ребенок, кроме кожи, чувствует себя относительно нормально.
Если же у малыша одновременно высокая температура, вялость и поэтапно появляющиеся зудящие пузырьки — почти наверняка это ветрянка, а не просто сыпь.
Если вы заподозрили у малыша ветрянку, не паникуйте — в большинстве случаев она проходит без тяжелых последствий. Главное — обеспечить ребенку правильный уход.
Вот что делать при первых признаках ветрянки у ребенка шаг за шагом.
При подтверждении ветрянки нельзя водить ребенка в сад, школу, людные места. Изолируйте его дома, выделите отдельную комнату по возможности. Ветрянка очень заразна — заболевший распространяет вирус еще за день-два до появления сыпи и до тех пор, пока не подсохнет последний пузырек.
Обычно карантин длится не менее 7-10 дней от начала болезни. Особенно важно исключить контакты с беременными женщинами, новорожденными, людьми с иммунодефицитом, которые не болели ветрянкой — для них эта инфекция крайне опасна.
В домашних условиях используйте отдельную посуду для малыша, регулярно проветривайте комнату. Помните: ребенок заразен до полного превращения всех пузырей в корочки, поэтому изоляция — ключевой шаг, чтобы не распространять инфекцию дальше.
При первых симптомах ветрянки у ребенка имеет смысл сообщить об этом лечащему врачу. Визит в поликлинику нежелателен (чтобы не заражать других), лучше проконсультироваться по телефону.
Ветрянка у ребенка диагностируется, как правило, по характерной сыпи, и врач на основании ваших описаний или фото может подтвердить диагноз. В особых случаях (сомнительная сыпь) бывают нужны анализы, но это редко.
Врач подскажет, что делать дальше:
В целом же при типичной ветрянке специфических лекарств, убивающих вирус, не требуется — терапия симптоматическая (облегчение симптомов и профилактика осложнений).
Противовирусные препараты (например, ацикловир) применяются только по назначению врача и обычно только в тяжелых случаях или группах риска — это подростки старше 12 лет, пациенты с ослабленным иммунитетом, беременные и т.д. Здоровым детям с легкой формой ветрянки ацикловир не показан. Не давайте ребенку никаких специфических лекарств «от ветрянки» без указания врача.
Если у ребенка жар выше 38°С и он плохо себя чувствует, можно дать жаропонижающее, но важно выбрать безопасный препарат.
Оптимальный выбор — парацетамол: препараты на его основе помогут сбить температуру и уменьшить боль у ребенка.
Ибупрофен (детские формы Нурофена и др.) многие привыкли использовать при жаре, но при ветрянке с ним нужно быть осторожным. Американская академия педиатрии рекомендует избегать ибупрофена при ветрянке, если есть возможность. Дело в том, что были отмечены случаи тяжелых бактериальных осложнений кожи у детей с ветрянкой, принимавших ибупрофен. Хотя прямой запрет на ибупрофен не такой строгий, как на аспирин, лучше отдайте предпочтение парацетамолу. В Украине некоторые врачи допускают ибупрофен для снижения температуры при ветрянке, но все же мировая тенденция — использовать сначала парацетамол как более безопасный вариант.
Не превышайте допустимые дозировки жаропонижающих и не давайте их «на опережение». Если температура терпимая (37-38°С) и ребенок относительно бодр, можно обойтись без лишних лекарств — температуру сбиваем, когда она высока и вызывает дискомфорт. Кроме того, при лихорадке давайте ребенку больше пить (воды, компота, чая), чтобы избежать обезвоживания.
Самое неприятное для малыша — это зуд при ветрянке. Чтобы уменьшить страдания, применяют такие меры:

Осложнения ветрянки случаются редко у здоровых детей, но знать о них нужно. Самое частое — бактериальное заражение кожи в местах расчесов (стафилококк, стрептококк могут вызвать нагноение). Это проявляется усилением покраснения вокруг элементов, появлением желтого гноя, болезненности — при таких признаках требуется осмотр врача и, возможно, назначение антибиотиков. Более редкие, но грозные осложнения:
К таким осложнениям обычно предрасположены дети с иммунодефицитом или подростки и взрослые, тяжело переносящие ветрянку. Именно поэтому важно не игнорировать болезнь, а обеспечить ребенку должный уход и наблюдение.
При правильном домашнем лечении и уходе ветрянка у подавляющего большинства детей проходит благополучно, оставляя после себя пожизненный иммунитет.
Таким образом, раннее распознавание ветрянки у ребенка и грамотный уход — залог того, что болезнь пройдет максимально легко и без последствий. Как мы выяснили, важно обратить внимание на первые симптомы и сразу начать действовать: соблюдать карантин, правильно лечить лихорадку, ухаживать за кожей и зудом. Большинство деток переносит ветрянку благополучно, получая пожизненный иммунитет.
Кстати, на сегодняшний день существует эффективная вакцина от ветрянки, которую рекомендуют детям с 12 месяцев. Вакцинация помогает либо вовсе избежать болезни, либо перенести ее в очень легкой форме. Однако если прививка не сделана и ребенок заразился — теперь вы знаете, что делать при первых признаках ветрянки, чтобы быстро вернуть своего малыша к здоровой и счастливой жизни без зеленых пятнышек!
Обычно ветрянка длится 7-10 дней. Ребёнок перестаёт быть заразным, когда все пузырьки подсохнут и покроются корочками — обычно на 10-14-й день. В коллектив можно возвращаться только после осмотра педиатра и выдачи справки.
Повторное заболевание бывает крайне редко — после ветрянки формируется пожизненный иммунитет. Вакцинация (Варилрикс с 9 месяцев, Варивакс с 12 месяцев) рекомендована детям, подросткам и взрослым, которые не болели, чтобы предотвратить осложнения и тяжёлое течение болезни.
Кожу нужно очищать и защищать от расчесов. Помогают каламиновый лосьон или гель ПоксКлин. Купать ребёнка можно, но без мочалки и горячей воды. Ногти должны быть коротко острижены, одежда — свободная и хлопковая.
Инкубационный период составляет 10-21 день. Первые симптомы (жар, слабость, высыпания) обычно проявляются на 14-й день после контакта с больным.
Да, можно. Короткий душ или ванна с ромашкой, содой или овсянкой помогают снять зуд. Главное — не тереть кожу и аккуратно промакивать полотенцем.
Современные врачи рекомендуют каламиновый лосьон, ПоксКлин или другие мягкие подсушивающие средства. Зеленку и фукорцин сейчас не используют — они не лечат и могут раздражать кожу.
После того как подсохнет последний пузырёк и появятся только корочки — обычно через 7-10 дней от начала болезни. С этого момента можно прекращать изоляцию.
Пока ребёнок заразен — нельзя. Когда температура нормализуется, а новые высыпания не появляются, можно выходить на короткие прогулки вдали от других детей.
Также узнайте, как укрепить иммунитет ребенка с помощью пробиотиков. Полезные бактерии, населяющие наш кишечник — первая линия иммунной защиты.
Предпочитаете антисептики для обработки пузырьков ветрянки? Тогда читайте нашу статью и узнайте, какой антисептик эффективнее — Хлоргексидин или Мирамистин?
apteka911.ua — первая инновационная площадка, которая всегда рядом с вами!
Мы публикуем достоверную и актуальную информацию на сайте (инструкции, описания, статьи). Но даже тщательное изучение инструкции не является поводом заменить визит к врачу самолечением. Администрация сайта apteka911.ua не несет ответственности за возможные последствия, возникшие в результате использования информации на сайте. Помните, что CАМОЛЕЧЕНИЕ МОЖЕТ БЫТЬ ВРЕДНЫМ ДЛЯ ВАШЕГО ЗДОРОВЬЯ.
ВНИМАНИЕ! Цены актуальны только при оформлении заказа в электронной медицинской информационной системе Аптека 9-1-1. Цены на товары при покупке непосредственно в аптечных заведениях-партнерах могут отличаться от указанных на сайте!
{{docMaster.documentName}}
{{docVisa.documentName}}